
Whether you're just visiting Burnsville or an established resident looking for a great chiropractic experience from an exceptional chiropractor in Burnsville, Dr. Geary is just the person for you!
We utilize the Gonstead Method of care. This discipline takes great care to ensure a mechanically-specific and precise adjustment.
A healthy structural relationship of the spine and nervous system is necessary for optimal health and disease prevention. We utilize the Gonstead Method of chiropractic care. With this method great care is taken to ensure a mechanically specific and precise adjustment once a complete health assessment and proper analysis of spinal biomechanics is determined.
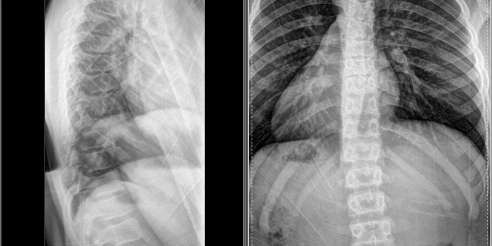
Full-spine x-ray films allow us to precisely analyze the entire structure of your spine and correlate these biomechanical findings with your entire examination.
This enables the most precise adjustment to achieve the best corrective results.
X-ray’s also rule out any congenital malformations, disease processes, and / or fractures.
This process of analysis enables the correct position and precise chiropractic thrust to provide the most accurate and painless adjustment possible.
This expertise is needed to correct both spinal and extremity subluxations ( a partial dislocation of a joint with associated neurological dysfunction ).
We underscore that a specific methodology toward correcting spinal subluxation conditions will produce long-lasting and permanent results well-beyond the recommended treatment plan.
Consuming a diet of ultra-processed foods laden with preservatives and chemicals will ultimately destroy our gut microbiome and mitochondrial health. This pattern also causes neurological dysfunction.
Exercise and core strength is critical for spine and cardiovascular health to allow for a healthier lifespan and chiropractic adjustment stability.

2999 County Road 42 West #212
Burnsville, MN 55306

We will be closed the week of April 13th - April 17th. Please contact us by email, or leave us a voicemail, and we will respond when we are back in office on Monday, April 20th. Thank you for your understanding!